“矫正结束两年后,才明白什么是前功尽弃”-40岁正畸牙齿疼到睡不着

牙齿矫正,“一半靠医生,一半靠自己”。

在矫治结束后,医生会制作保持器,以使牙齿稳定在排列良好的新位置上,避免反弹。

但是,事情并不是那么简单。如果你没有下决心好好戴,很有可能你付出的时间和金钱都毁于一旦。

像上面这位同学,就属于明知山有虎偏向虎山行的典型。这就好比今天暑假最后一天了,你作业还没做完,而你还在玩游戏,一边焦虑一边拖延的侥幸心理。

关于保持器,过来人是这么痛彻心扉的:

☞已经二进宫的仙女A

我也是二进宫了,大家别学我。别读书时辛辛苦苦戴了那么久牙套,到头来前功尽弃。

——原因就是没好好戴保持器。

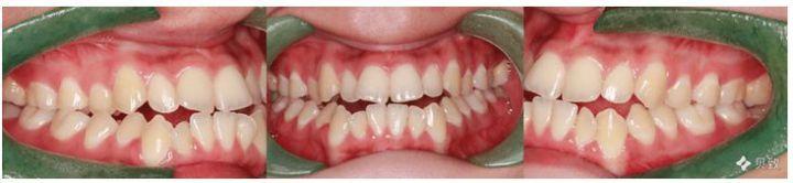
第二次矫正前,牙齿已经反弹成这个样子你敢信?这牙哪有矫正过的样子?!

大家如果不相信保持器的作用,可以参考图中AB的反弹情况。

① 颜值巅峰时期的笑容

② 现在的牙齿……

各位对这个可千万要有心理准备。

美要美一辈子,也可是辛苦一辈子的事儿。

其实这跟减肥的原理一样啊,减下来相对容易但是保持一辈子的好身材,却是最难得的,所以大家加油咯!

☞看偶像练习生上瘾的仙女B

昨天戴上了一个月没戴的保持器,大晚上疼的睡不着了。事实证明,不好好戴保持器,牙齿真的会反弹的厉害。

矫正前

刚矫正完,很整齐

最近,门牙又有点飘了

最近发现欧巴蔡徐坤的牙齿也有点反弹迹象了,哎,保持很重要啊。

☞自己不争气要第三次矫正的仙女C

最近颌关节疼去看牙,医生说我咬合不良建议我要带矫正器!!!怕不是又要矫正牙齿???第三次了!!!

初中矫正了一次,没带保持器反弹了;高中又去矫正了一次,还是没坚持去反弹了。这口牙都花了几万了,没一次坚持下来的!

如今深刻后悔,当初为啥没有坚持戴矫正器!现在牙齿反弹的不敢去看。

我妈天天叨叨我,说别人家的孩子都是求着大人带去矫正牙齿,她从初中开始就带我去矫正,我自己一点都不放在心上,不好好戴……

大家自行感受下,好好保持有多重要。好了好了开始听课。

1、保持器的种类有哪些?我该怎么选?

当你矫正结束后,医生会给你配至少一种保持器。保持器目前有三种:

Hawley保持器

优点:

不易损坏

缺点:

美观度和舒适度欠缺

透明压膜保持器

优点:

美观、异物感小

缺点:

容易折断或老化变色

舌侧固定保持器

优点:

适合懒人

缺点:

有一定脱落可能

这几种保持器如果正确的设计、制作和佩戴,保持效果基本是相同的。

如果你是纠结型人格,建议配两副,白天戴压膜透明的,晚上戴哈雷传统的。完美。

舌侧固定保持丝如果不松动,也是比较省事的选择。需要注意的是,一旦保持丝松动要及时复诊,最怕松动了你还没发现,凉凉。

另外,透明的保持器和哈雷保持器,

松动了也要及时复诊

!它们管不了一辈子!

2、保持器要戴多久?

每个人的咬合情况不同,大部分矫正结束的病例

常规保持2年

左右。

第一年,除了进食以外都需要佩戴;随后佩戴时间越来越短,如只需要睡觉戴,或者隔天戴。另外,某些特殊病例类型需要延长保持时间,有些可能需要终生保持。

怪兽大学里,大眼仔小时候是个钢牙boy,上大学了就戴上了哈雷保持器

一个小技巧:

尝试更长一点的时间不去佩戴之后,再试戴一下保持器,看牙齿有没有感觉很紧,如果还可以,就可以再增加保持器佩戴的间隔时间并慢慢不戴保持器。

当然终身保持也很提倡!睡觉前带上保持器应该成为到老的习惯!!坚持就是胜利,矫正结束后持续佩戴保持器,一切才能真正的完美!

3、矫正效果会复发么?反弹了改怎么办?

我们的牙齿终生都是在移动的。牙齿不可能完全保持矫正结束时的状态,所以矫正后的复发是绝对的,只是每个人的复发情况不同。

第一点:轻微的移动并不代表复发!

打个比方是你正畸完牙齿是100分,后期保持到95分就很不错了,保持时间越长,越不容易复发,所以终身保持也是个很好的习惯。

破产姐妹第一季中,卡若琳冒险去被封的家里找保持器,戴上才觉得有安全感

第二点:矫正后咬合越稳定,越不容易复发。

所以好医生很重要,医生的技术一部分决定了复发是否严重。还有的人该拔牙不拔牙的,也会容易复发。

4、如果我已经反弹了该怎么办?可以二次矫正么?

如果小时候不好好戴保持器,成人了反弹严重,牙周情况良好的情况下,可以选择二次矫正。所以我们建议不要偷懒,矫正后的保持工作一定要好好做,不然又花钱又遭罪。

5、保持器应该怎么清洁?

不知道大家知不知道世界上有种东西叫:假牙……啊呸,

保持器清洁片

?(一种东西)

对,拿出你买奶茶炸鸡的一点点预算,买它一盒,随随便便一百片够你用的。泡一泡然后用牙刷轻轻刷一刷,和新的似的。如果你很壕并且很懒,连手都不想动,也可以买个

声波清洁器

矫正结束后,牙根周围的组织还没有完全长好,比如牙槽骨。因为牙齿移动的速度会快于骨改建的速度。所以,矫正后,一定要保持段时间。

希望大家和矫正期间一样重视矫正后的保持,真的,非常,重要。

本文地址:http://www.ym836.cn/3502.html

版权声明:本文内容由互联网用户自发贡献,该文观点仅代表作者本人。本站仅提供信息存储空间服务,不拥有所有权,不承担相关法律责任。如发现本站有涉嫌抄袭侵权/违法违规的内容, 请发送邮件至 931614094@qq.com 举报,一经查实,本站将立刻删除。

上一篇: 孩子四五岁就能矫正牙齿?听听资深口腔医生怎么说-矫正牙齿几岁合适门牙突岀
下一篇: 打瘦脸针图片视频全过程后来的效果,打瘦脸针图片视频全过程后来的效果是什么